
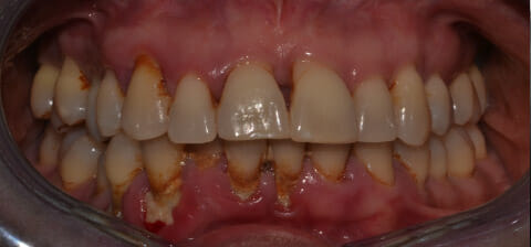
Paziente E
Paziente di 40 anni affetta da parodontite aggressiva generalizzata.
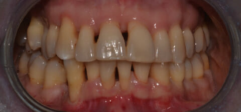
La paziente è stata esclusivamente sottoposta a sedute di terapia parodontale minimamente invasiva eseguita con l’ausilio del microscopio operatorio e del laser per la cura definitiva della parodontite: non è stato necessario nessun tipo di terapia chirurgica.


Analisi rischio parodontale

Analisi microbiologiche prima e dopo la cura della parodontite
Dopo solo 2 mesi mesi la carica batterica si è ridotta dal 24%, con quasi totalità di batteri del complesso rosso (i più aggressivi), a 6% circa con la netta diminuzione dei medesimi.


Panoramica prima e dopo la terapia parodontale con laser e microscopio


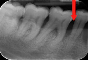
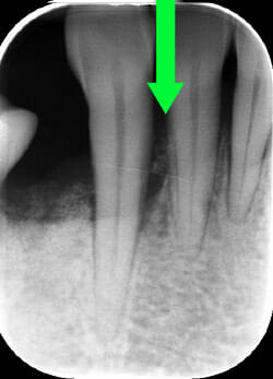
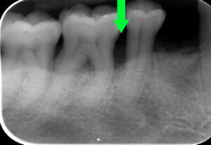
Endorale prima e dopo la cura della parodontite
Con terapia parodontale fotodinamica non chirurgica: si noti la ricrescita naturale dell’osso e del tessuto parodontale.



