
Paziente D
Paziente di 35 anni affetta da parodontite aggressiva generalizzata e da osteoporosi.
La paziente presentava anche un problema di spostamento evidente dei denti dell’arcata superiore, per cui necessitava di terapia ortodontica.
La paziente è stata quindi sottoposta a sedute di terapia parodontale microinvasiva eseguita con microscopio operatorio e laser.
Una volta curata la parodontite e ripristinata la funzionalità corretta della bocca sono state eseguite anche la terapia ortodontica fissa e la terapia estetica.
Il risultato è stato il salvataggio di elementi a rischio estrazione e il ripristino sia funzionale che estetico della bocca della paziente, che ha potuto ritrovare la fiducia nel suo sorriso.




Analisi rischio parodontale

Analisi microbiologiche prima e dopo la cura della parodontite
Dopo 14 mesi la carica batterica si è ridotta da 6,5% a 0,5%. Anche i batteri patogeni parodontali appartenenti all complesso rosso (tra i più aggressivi), che erano quelli prevalenti, sono del tutto scomparsi.


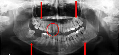
Panoramica prima e dopo la terapia parodontale, ortodontica ed estetica

