
Paziente C
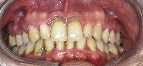
Paziente di 38 anni affetto parodontite aggressiva generalizzata.
Il paziente presentava una grossa quantità di tartaro ematico, suppurazione nella maggior parte dei siti e mobilità di diversi elementi dentali.
Il paziente è stato quindi sottoposto a sedute di terapia parodontale microinvasiva fotodinamica eseguita con l’ausilio del microscopio operatorio.
.
Il risultato ottenuto dalla terapia parodontale microbiologicamente guidata è stato il salvataggio di tutti gli elementi considerati da estrarre e l’abbassamento della carica batterica patogena.


Analisi rischio parodontale


Analisi microbiologiche prima e dopo la cura della parodontite
Dopo solo due mesi la carica batterica si è ridotta da 1.33%, con prevalenza di batteri del complesso rosso, a 0.60% con l’eliminazione dei medesimi.


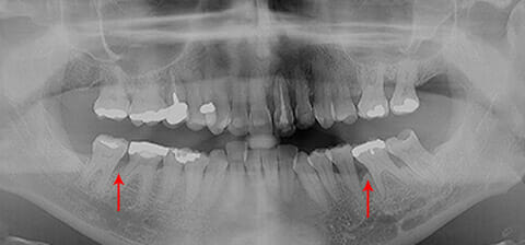
Panoramica prima della della terapia parodontale

Endorale prima e dopo la cura della parodontite
Con terapia parodontale microinvasiva: si noti la ricrescita naturale dell’osso e del tessuto parodontale.

